Cos’è questo MIH?
Lavorando tutti i giorni con i bambini, negli ultimi anni abbiamo rilevato un importante aumento di antiestetiche macchie di colore bianco opaco o giallo-marrone sulla superficie dei denti in eruzione, in particolare su incisivi e primi molari permanenti, questa problematica viene definita MIH o “Ipomineralizzazione Molare-Incisiva.
E’ una patologia in aumento nella popolazione pediatrica. Uno studio italiano del 2005 indicava già la presenza in 1 bambino su 6 tra gli otto e i dodici anni, oggi il problema appare più frequente.
Come si presenta ?
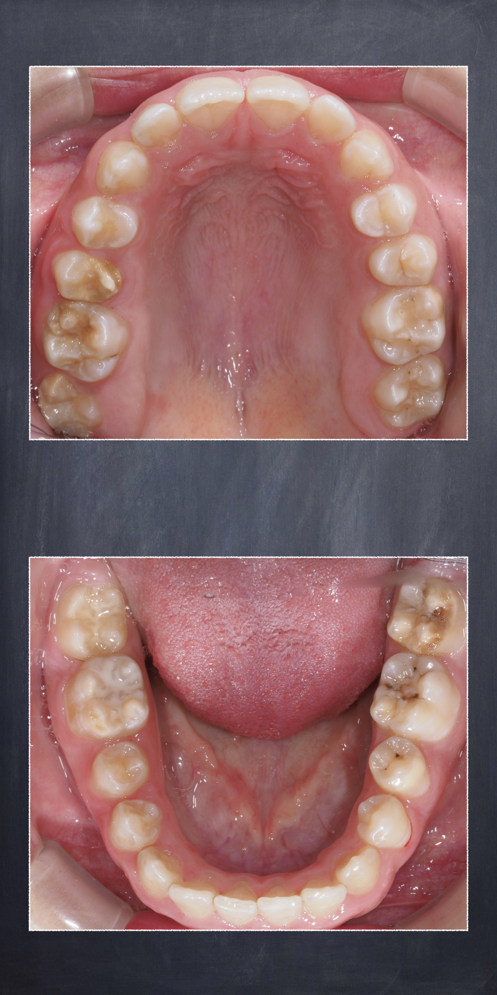
I denti maggiormente colpiti da MIH nei bambini sono i primi molari permanenti (da 1 a 4 denti) e gli incisivi permanenti (da 1 a 8 denti), ma possono essere coinvolti anche altri elementi dentari.
Le macchie variano dal bianco opaco al giallo-marrone a seconda della porosità dello smalto e sono sempre più scure e su zone di dente sempre più ampie in funzione della gravità della patologia. Spesso si tratta di un problema puramente estetico a livello dei denti frontali mentre quadri clinici più importanti si possono riscontrare nei denti posteriori dove a volte i denti sono completamente malformati che devono essere valutati da un dentista.
Quali Conseguenze può dare?
Lo smalto ipomineralizzato comporta una ipersensibilità dentinale, quindi denti che fanno male al freddo ed a volte anche alla masticazione. Spesso i bambini affetti riferiscono di avere un dolore, descrivendolo come una specie di “scossa”, quando mangiano cibi e bevande freddi o zuccherati. A volte i bambini hanno anche difficoltà a mangiare, mangiano molto lentamente per aspettare che il cibo abbia una temperatura meno fastidiosa o non vogliono lavarsi i denti.
Anche l’anestesia risulta meno efficace in questi elementi, perché lo smalto più poroso permette il rapido passaggio dei batteri alla dentina sottostante determinando uno stato di infiammazione cronica della polpa. Ecco perché sarà fondamentale remineralizzare e rinforzare il dente prima di procedere con qualsiasi trattamento conservativo.
Nei casi più gravi, una delle possibili complicanze è quella di andare incontro ad un vero e proprio crollo strutturale del dente che, essendo più debole e più soggetto a carie, non riesce a resistere alle importanti forze sviluppate durante la masticazione.
Cosa possiamo Fare?
Il primo passo fondamentale è la DIAGNOSI PRECOCE, da qui l’importanza dei controlli periodici da parte dell’odontoiatra pediatrico per tutti i bambini.
Una volta fatta diagnosi di MIH, il punto di partenza di ogni trattamento sarà volto a rinforzare lo smalto indebolito e diminuire la sensibilità dentinale, con l’ausilio di prodotti contenenti fluoro (gel, vernici, dentifrici) e di prodotti caseinati a base di calcio-fosfato che stimolano la REMINERALIZZAZIONE del dente.
Accanto ad una scrupolosa igiene e prevenzione domiciliare, i bambini saranno seguiti con frequenti controlli periodici e applicando specifici protocolli che variano dalla semplice applicazione professionale di fluoro, a trattamenti di tipo conservativo, in relazione ai diversi quadri clinici riscontrati.
È infine doveroso sottolineare come, a causa della diversa struttura dello smalto dentale dei denti con MIH, vi sia una minor efficacia dei sistemi adesivi utilizzati per i restauri. Questo comporta una minor durata delle otturazioni e talvolta la necessità di dover ricorrere nel tempo ad un trattamento protesico dei denti interessati. E’ importante però spostare il più in la possibile questo tipo di trattamento per garantire la maggior vita utile a questi denti.

Scrivi un commento