La carie nei denti da latte: prevenzione e cura
La carie nei denti da latte, chiamata anche carie precoce dell’infanzia, è una forma particolarmente virulenta di carie che colpisce i bambini più piccoli. È conosciuta anche come “sindrome da biberon”, perché è spesso associata alla somministrazione prolungata di bevande zuccherate (tisane o camomilla dolcificate, succhi di frutta) o di succhiotti intinti in zucchero o miele a scopo calmante, specialmente nelle ore notturne.
Si tratta di una malattia molto frequente che tende ad essere sottovalutata, soprattutto nei bambini. Un recente studio italiano eseguito sulla popolazione pediatrica ha evidenziato che questa patologia colpisce il 15% dei bambini dai 4 ai 6 anni e più del 40% dei ragazzi di 12 anni.
La carie dei dentini da latte non è un fenomeno da sottovalutare, in quanto può dare luogo a quadri clinici dolorosi e invalidanti che potrebbero richiedere delle cure odontoiatriche invasive. È importante infatti ricordare che i denti decidui, seppur transitori, sono fondamentali per riservare lo spazio necessario allo sviluppo dei denti permanenti. La loro perdita precoce potrebbe interferire con le funzioni masticatorie e fonetiche, causare problemi di deglutizione e ostacolare la crescita armonica della bocca e del viso.
È importante quindi saper riconoscere i sintomi delle carie dei denti da latte per poter intervenire tempestivamente, e adottare alcuni comportanti utili a prevenire questa patologia.

Carie dei denti da latte: come si presenta?
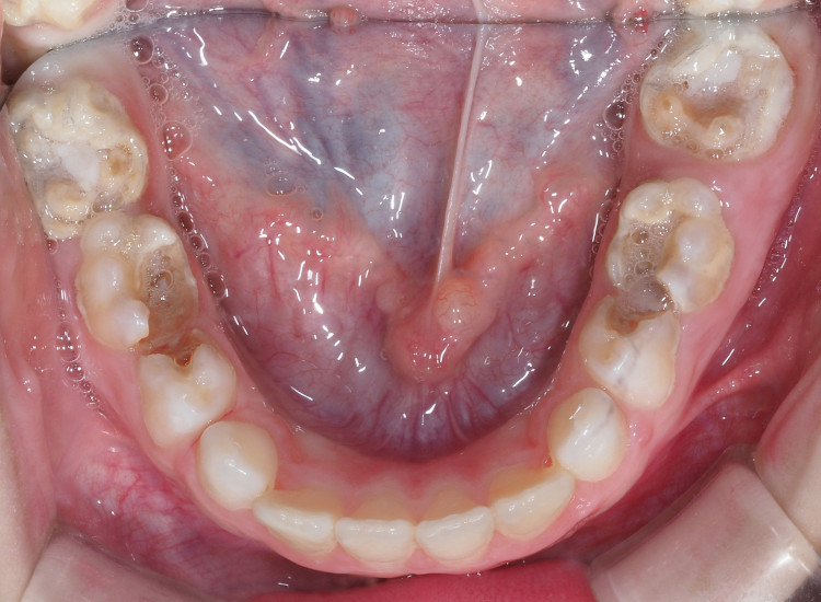
La carie precoce dell’infanzia si manifesta con delle macchie bianche o marroni che evolvono rapidamente in cavità sempre più estese, fino a creare un tessuto di consistenza molle. Queste aree di demineralizzazione coinvolgono prima i dentini frontali superiori, e possono estendersi anche ai molaretti da latte nel caso in cui non si intervenga in modo tempestivo.
Poiché la carie è solo una delle possibili cause dei denti neri nei bambini, se riscontri delle pigmentazioni anomale sui denti di tuo figlio ti consigliamo di fissare una visita di controllo dal dentista per identificare l’origine del problema.

Perché la prevenzione è importante?
La carie, se non curata, porta alla progressiva distruzione dei tessuti dentali, causando la caduta precoce dei dentini da latte. È fondamentale quindi intervenire subito, alla comparsa dei primi sintomi, ma anche adottare dei comportamenti utili a prevenire l’insorgenza di questa malattia. Vediamo quali.
Abitudini alimentari
Evita di dare a tuo figlio bevande zuccherate (soprattutto durante le ore notturne) e snack fuori pasto, limitandoti a 5 pasti al giorno: colazione, merenda del mattino, pranzo, merenda pomeridiana e cena. Cerca di fargli seguire una dieta variegata e ricca di frutta e verdura, evitando troppi carboidrati.
Igiene orale
Dal momento dell’eruzione dei primi dentini da latte, lavali dopo i pasti principali con l’ausilio di uno spazzolino e un dentifricio al fluoro per bambini.
Trasmissione di batteri
Sarebbe bene anche limitare la trasmissione dei batteri responsabili della carie attraverso la saliva dei genitori o di altri parenti. Evita quindi di assaggiare la pappa con lo stesso cucchiaio di tuo figlio e di mettere in bocca il cuccio o il biberon per pulirlo. Cerca sempre di distanziare gli spazzolini degli adulti da quelli dei bambini, per evitare che i batteri sulle setole “migrino” da uno spazzolino all’altro.
Controlli periodici
Ti consigliamo di fissare la prima visita odontoiatrica tra i 6 e i 12 mesi di vita del bambino, dopo l’eruzione dei primi dentini. Durante la seduta e i controlli periodici successivi, il dentista potrà monitorare il corretto sviluppo della dentizione e curare precocemente eventuali carie dei denti da latte o altre patologie. Inoltre potrà seguire tutta la famiglia per dare le corrette indicazioni e poter così dare la possibilità a tuo figlio di crescere senza carie.
Anche se i denti decidui sono destinati a cadere per lasciare il posto a quelli permanenti, la loro salute non va assolutamente trascurata, perché da essa dipenderà il corretto sviluppo della bocca di tuo figlio. Se riscontri delle macchie anomale sui dentini del tuo bambino, prenota subito una visita odontoiatrica per intervenire con la terapia più indicata.
Scrivi un commento